
A Case with Denco's Chameleon PRO FLEXI FILES
Treating teeth with obliterated canals and apical curvatures poses significant endodontic challenges, from limited canal visibility to higher risks of instrument issues. This case study outlines the successful single-visit root canal treatment of a lower left first molar—featuring obliterated mesial canals, an obliterated apical third of the distal canal, and a slight apical curvature in the distal canal—using Denco's Chameleon PRO FLEXI FILES in a “manualless” (no manual FILES) technique. It highlights how the FILES’ design and metallurgy simplify complex preparation for efficient, reliable results.
Patient Presentation & Clinical/Radiographic Findings
A male patient visited the clinic with severe pain in his lower left first molar, which caused sleepless nights. Key evaluations revealed:
- Old dental restorations with recurrent caries (confirmed both clinically and radiographically).
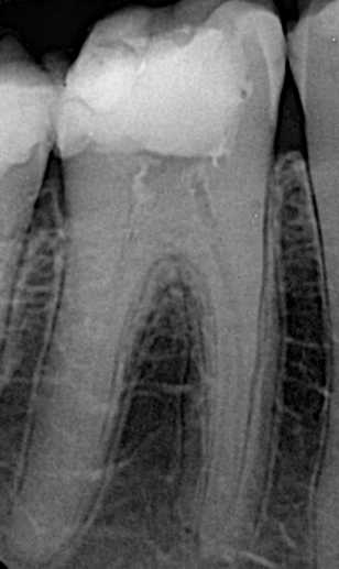
Pre-operative X-ray showed:
- Fully obliterated mesial canals (MB: mesio-buccal; ML: mesio-lingual).
- Obliterated apical third of the distal canals (DB: disto-buccal; DL: disto-lingual).
- Slight abrupt apical curvature in the distal canals.

Treatment Plan
Given the patient’s severe pain and need for rapid relief, single-visit root canal treatment was selected. A “manualless” technique was adopted, made possible by Denco's Chameleon PRO FLEXI FILES—their specialized sequence and metallurgy eliminate the need for manual FILES, even in obliterated, curved canals.
Treatment Procedure
All steps relied on Denco's Chameleon PRO FLEXI FILES for precise, efficient preparation:
- Access & Orifice Localization: Old restorations and recurrent caries were removed. Canal orifices (MB, ML, DB, DL) were localized using magnification, despite mesial canal obliteration.
- Manualless Glide Path: The Chameleon 19/02 Rotary File (size 19, taper 0.02) created a smooth glide path in obliterated canals—no manual FILESneeded.
- Canal Shaping with 20/04 File: A seamless transition to the Chameleon 20/04 Rotary File (size 20, taper 0.04) followed. Chemomechanical preparation was done with this file, plus copious irrigation of all canals using 2.5% NaOCl (sodium hypochlorite) for disinfection and debris removal.
- Final Apical Shaping:
- Mesial canals (MB, ML): Chameleon 25/04 Rotary File (size 25, taper 0.04) served as the “Master Apical File.”
- Distal canals (DB, DL): Larger preparation with Chameleon 25/06 Rotary File (size 25, taper 0.06) to accommodate the apical curvature.
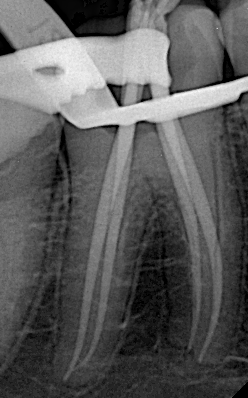
- Obturation & Coronal Restoration: All canals were obturated via the hydraulic condensation technique with bioceramic sealer. Coronal restoration was completed in the same visit to restore function and protect the canal system.
Outcomes & Advantages of Denco's Chameleon PRO FLEXI FILES
- Immediate Pain Relief: The patient reported full resolution of severe pain post-treatment.
- Anatomical Preservation: Post-treatment radiographs confirmed proper shaping and obturation of all canals—no perforation, ledging, or instrument separation.
- Efficient Manualless Technique: The FILES’ design cut treatment time, reduced operator fatigue, and minimized error, critical for single-visit success.
Key file benefits:
- Specialized 19/02 → 20/04 → 25/04/25/06 sequence for gradual, safe preparation in obliterated/curved canals.
- Advanced metallurgy offers flexibility (for curvatures) and durability (resists fracture).
- Efficient cutting action removes debris effectively, shortening procedure time.
Conclusion
Denco's Chameleon PRO FLEXI FILES enable successful management of complex root canal cases—like this lower left first molar with obliterated canals and apical curvature—even in single visits. Their manualless compatibility, design, and performance make them a reliable tool for dentists seeking predictable, patient-centered endodontic outcomes.
Successful Single-Visit Root Canal Treatment for a Lower Right First Molar with Severely Obliterated Canals
Patient Background & Initial Presentation
A female patient was referred to our clinic following emergency access cavity preparation on her Lower Right First Molar. The patient reported severe post-procedural symptoms, including persistent pain and sleepless nights—issues directly linked to the molar’s complex anatomy: severely obliterated root canals (mesiobuccal/MB, mesiolingual/ML, distobuccal/DB, distolingual/DL), which posed significant challenges for mechanical preparation.

Pre-operative X-rays further confirmed the complexity:
- Complete obliteration of the mesial canals and total obstruction of the distal canals.
- Apical third calcification in the distal canals.
- Unusually long canal lengths (24 mm and 25 mm) combined with the patient’s limited mouth opening—factors that heightened the difficulty of treatment.
Treatment Plan: Single-Visit Root Canal Treatment (RCT)
Given the patient’s discomfort and the molar’s anatomical complexity, single-visit root canal treatment was selected as the optimal approach to minimize patient downtime and alleviate symptoms promptly. To navigate the obliterated canals safely and efficiently, we chose Chameleon PRO-FLEXI FILES (Denco) and implemented a Manualless technique (no manual files used throughout the procedure)—a decision driven by the files’ specialized design, sequence, and advanced metallurgy, which excel in managing complex root canal anatomies.
Step-by-Step Treatment Process
- Coronal Flaring: Establishing Access
To simplify canal negotiation and reduce procedural errors (critical for obliterated canals), we first performed coronal flaring using the Chameleon 17/08 rotary file. This step widened the coronal portion of the canals, creating a clear pathway for subsequent shaping files.
- Glide Path Creation: Chameleon 19/02 Rotary File
The Manualless shaping process began with the Chameleon 19/02 rotary file, a key tool for navigating severely obliterated canals. Its design enabled a smooth, easy glide path—even in the molar’s calcified mesial and distal canals—laying the groundwork for safe, precise shaping.
- Chemomechanical Preparation: Chameleon 20/04 Rotary File
After establishing the glide path, we transitioned seamlessly to the Chameleon 20/04 rotary file for chemomechanical preparation. The procedure followed a systematic approach:
- The file was advanced in 3 strokes until resistance was felt.
- It was then removed to perform copious irrigation with 2.5% sodium hypochlorite (NaOCl) (to flush debris) and apply lubrication, while also cleaning the file itself.
- This cycle was repeated until the file safely reached the pre-determined working length in all four canals (MB, ML, DB, DL).
- Apical Shaping: Chameleon 25/04 & 25/06 Rotary Files
- For the mesial canals, the Chameleon 25/04 rotary file served as the “Master Apical File.” It reached the working length in approximately 3 strokes, following the same irrigation and cleaning protocol as the 20/04 file.
- For the distal canals (which required larger preparation due to their anatomy), we used the Chameleon 25/04 rotary file to reach the working length first, then switched to the Chameleon 25/06 rotary file to complete the final shaping.
- Obturation & Coronal Restoration
To ensure long-term treatment success, we performed obturation using the Hydraulic condensation technique with a bioceramic sealer—ideal for creating a hermetic seal in complex canals. A coronal restoration was also completed during the same visit, finalizing the treatment in one session
Key Takeaways
This case highlights how Chameleon PRO-FLEXI FILES and a Manualless technique can overcome the challenges of severely obliterated canals, apical calcification, and long canal lengths—even with a patient’s limited mouth opening. By streamlining the treatment into a single visit, we not only resolved the patient’s pain and sleep issues but also demonstrated the efficiency and reliability of Denco’s Chameleon PRO-FLEXI system for complex endodontic cases.














