
Clinical Case
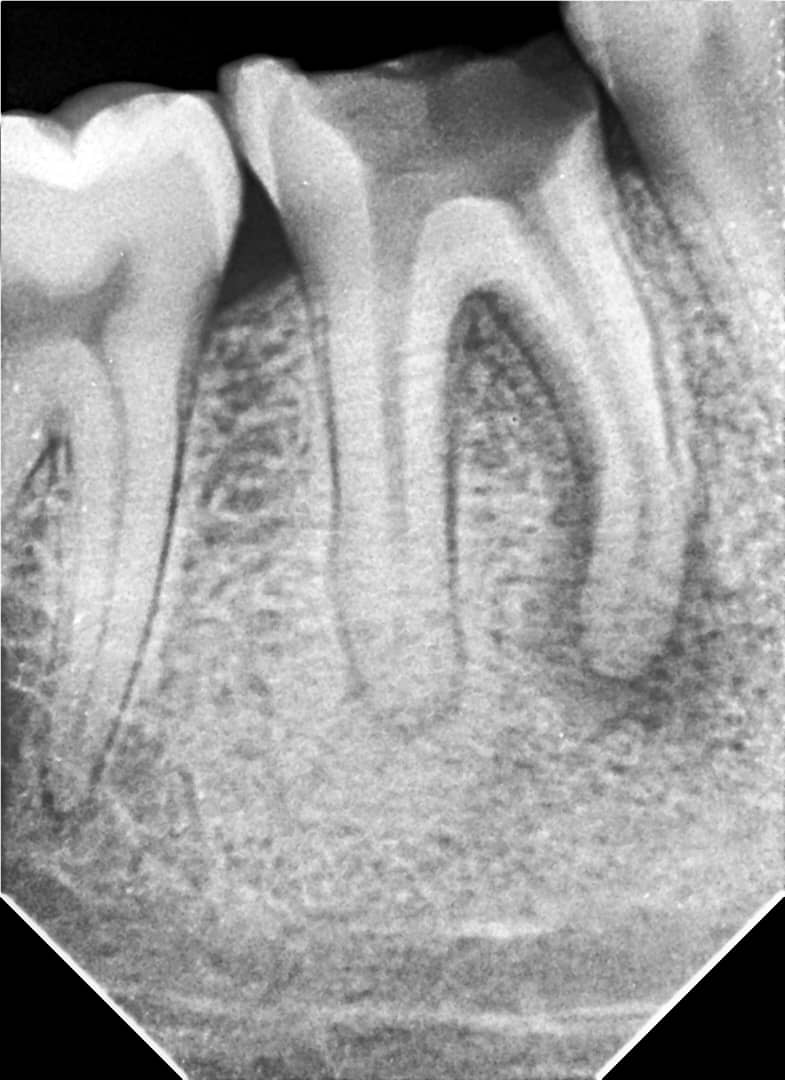
A female patient presented with complaints of severe pain and swelling in the area of tooth #46.
History:
The filling had fallen out 4 months ago, but the patient postponed the visit due to fear.
Clinical findings:
- Tooth was severely decayed, cavity filled with softened dentin and food debris
- Percussion was sharply painful
- Thermal test — negative
- Swelling and hyperemia of the mucosa in the vestibular fold area
Diagnosis: Symptomatic Apical Periodontitis of tooth #46
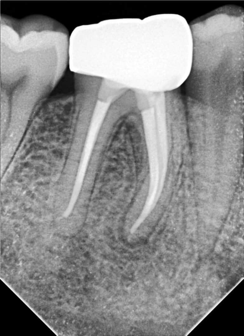
Treatment:
- Mechanical instrumentation using SUPER FILES III rotary files up to size F3
- Irrigation with 3.25% sodium hypochlorite (NaOCl)
- Intracanal calcium hydroxide dressing for 2 weeks with a temporary filling
- Obturation with gutta-percha using the lateral condensation technique and AdSeal sealer
- Tooth restored with a zirconia crown
6-month follow-up:
Clinical and radiographic signs indicate successful healing of the periapical tissues.
Conclusion:
Timely endodontic treatment can save the tooth and prevent complications. Don’t delay care — early treatment is easier and more predictable.













