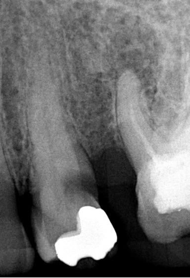
In endodontics, every case reminds us that anatomy can be wonderfully unpredictable. This particular premolar presented with a molar-like multi-canal morphology, complete with extensive coronal caries. The case beautifully highlights the critical importance of accurate diagnosis, thorough caries removal, and a precisely designed access preparation.
Diagnosis
Premolar presenting with an aberrant molar-like multi-canal morphology and extensive coronal caries, requiring meticulous access preparation and maximum structural preservation.



Clinical Challenges
The primary difficulties in this case revolved around several key aspects:
- Designing a precise access cavity that would allow reliable location and negotiation of the complex multi-canal system, all while maximizing the preservation of remaining healthy tooth structure after complete removal of extensive decay.
- Safely negotiating and managing a highly intricate, molar-like canal network within the inherently more restricted anatomical dimensions of a premolar root.
- Performing conservative shaping that respected the original canal trajectories and internal morphology without unnecessary sacrifice of dentin, particularly in the pericervical region.
Treatment Approach
Adequate access was essential—not only to locate and negotiate the canal system but also to do so while conserving as much tooth structure as possible. Once the decay was fully removed and access achieved, shaping was carried out using the DENCO Chameleon Dual Shaper. This instrument allowed for conservative and controlled preparation, effectively preserving the original canal anatomy and minimizing excessive dentin removal. Respecting the internal morphology throughout the procedure was key to maintaining canal integrity.
A thorough irrigation protocol was followed to ensure effective chemical disinfection:
- 5.25% Sodium Hypochlorite (NaOCl) for tissue dissolution and strong antimicrobial action
- 17% EDTA for smear layer removal
- Final rinse with distilled water to neutralize the irrigants prior to obturation
Obturation was completed with gutta-percha and CeraSeal bioceramic sealer, resulting in a stable, well-adapted three-dimensional seal.


Outcome
Successful negotiation of the complex canal system was achieved following complete caries removal. Shaping with the DENCO Chameleon Dual Shaper enabled conservative, controlled preparation that fully respected the internal morphology and minimized pericervical dentin loss. A stable, three-dimensional seal was accomplished using gutta-percha and CeraSeal bioceramic sealer after a rigorous chemical disinfection protocol.
Key Takeaways
This case reinforces several fundamental principles in modern endodontics:
- Access is critical.
- Conservative shaping preserves anatomy.
- Irrigation drives disinfection.
- Biology supports long-term success.
Case Category
Complex Anatomy & Aberrant Morphology Cases
Treating Doctor
Dr. Andreas Louloudiadis
MSc in Endodontics | GR








